8015
Plastic Surgery and Medspa Practice Serving Maryland, Washington DC & Virginia
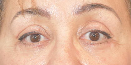
Case Description
64 year old, lower blepharoplasty for malar bags 4 months post op (transcutaneous approach for malar bags)
Procedures: Lower Eyelid Surgery,

The staff was amazing and made me feel comfortable every step of the way.

Get it DONE! The staff was amazing and made me feel comfortable every step of the way. My results are amazing, and I conquered the biggest hurdle in this journey - picking the correct Doctor and team. No regrets. Thank you, CSA.
– verified patient

I have been going to CSA for over a year, and it’s always such a nice visit.

I have been going to CSA for over a year, and it's always such a nice visit. Super professional, and I always feel taken care of.
– verified patient

I AM SO HAPPY I FOUND COSMETIC SURGERY ASSOCIATES.

I had such an amazing overall experience at Cosmetic Surgery Associates. The staff is very pleasant. I had my first invasive cosmetic procedure done back in September, and the final results are amazing. I LOVE IT. I'm so much happier with my body now. HIGHLY RECOMMEND. Prior to my surgery, I had been thinking about this for a while, and I'm so happy I made the decision to go through with it. I AM SO HAPPY I FOUND COSMETIC SURGERY ASSOCIATES. HIGHLY HIGHLY RECOMMEND!!
– verified patient

Their equipment, skill level, and expertise are superb.

This practice is truly outstanding! Their equipment, skill level, and expertise are superb. The staff is extremely friendly, kind, and professional; they make you feel comfortable as soon as you walk in the door.
– verified patient

Every single person in their office makes you feel so welcomed and comfortable the moment you step into the office.

Every single person in their office makes you feel so welcomed and comfortable the moment you step into the office. The day of my surgery, the staff took amazing care of me and went above and beyond to calm my nerves, talk me through it, and made it such a great experience. I highly recommend this office. I can't thank them enough for all that they did for me!
– verified patient

My experience there was beyond 5 stars.

My experience there was beyond 5 stars. From taking the appointment to post surgery. Even now after 10 months, the follow ups are outstanding. The whole staff took great care of me and the results are what I expected. Thank you for everything. Don't think twice and use this clinic if you want best in class service and the best result.
– verified patient

All of the staff were highly knowledgeable, and I received consistent direction and guidance from all of the staff.

Literally every staff member I interacted with from the front desk down to the surgical team gave stellar customer service and truly made me feel comfortable. My sister even felt the warm energy from the staff after meeting them the morning of surgery. All of the staff were highly knowledgeable, and I received consistent direction and guidance from all of the staff. I would highly recommend Cosmetic Surgery Associates to anyone seeking a cosmetic procedure!
– verified patient

I can’t stress enough how great this whole experience has been.

I can't stress enough how great this whole experience has been. Not only did he make me feel comfortable in my body, but 10x more confident. His work is truly beautiful. 100% recommend!!
– verified patient

I feel very comfortable and look better in my clothes.

The staff are professional, caring, and pay attention to detail. Almost 10 months post op. The results exceeded my expectations. I feel very comfortable and look better in my clothes. I'm so grateful. I highly recommend this practice.
– verified patient

The staff was wonderful, respectful, accommodating, and very knowledgeable!

The staff was wonderful, respectful, accommodating, and very knowledgeable! The facility was very clean and one of the staff members helped me work the coffee machine for a fresh cup of coffee!
– verified patient
Schedule a Consultation
Take the next step toward your ideal aesthetic when you schedule a consultation with Dr. Richards, Dr. Jabs, and Dr. Magge. We look forward to meeting you and helping you get started on your customized treatment plan.
Contact Us




